
임플란트 치과의 중요성
임플란트 치과는 잃어버린 치아를 복원하는 데 있어 핵심적인 역할을 합니다. 많은 이들이 치아 손실 후 겪는 만성 통증이 잇몸 건강에 큰 영향을 미친다는 점을 무시하고 지나치곤 하는데, 이는 바람직하지 않습니다. 문득 저도 어릴 적, 야구공에 맞아 잇몸이 부풀어 오른 적이 있었습니다. 그때 그 아픔이 오랜 시간 저를 괴롭혔다는 걸 생각하면, 여러분도 같은 고통을 피하고 싶으시겠지요.

치과 치료는 불편할 수 있지만, 임플란트 치과는 이 불편함을 최소화하는 혁신적인 방법과 기술을 끊임없이 발전시키고 있습니다. 예를 들어, 최근에는 수면 임플란트 치과를 선택하는 분들도 많아져, 불안한 마음을 덜 수 있는 방법이 생겼습니다. 수면 마취를 통해 치료 과정에서 느낄 수 있는 불안감과 고통을 경감시켜 주죠. 매일 다양한 선택지가 생기는 만큼, 올바른 정보를 갖고 신중한 선택이 필요합니다.



페인 포인트에 대한 이해는 임플란트 치료를 고려할 때 매우 중요합니다. 많은 환자들이 치아 문제로 인해 오는 신경의 통증, 심리적 불안정, 식사 불편함 등을 호소합니다. 저도 그런 기분을 공감하는데요, 외출할 때 웃으면서 대화해야 하는 상황에서 미소를 지어야 하는 부담은 이루 말할 수 없으니까요. 임플란트 치과는 이러한 복합적인 문제를 해결하는 데 꼭 필요한 존재입니다.
치료 과정의 이해
임플란트 치료는 대체로 복잡한 과정을 필요로 합니다. 첫째, 정확한 진단을 위해 X-ray 촬영과 구강 검진이 이루어집니다. 여기서 의사가 환자의 구강 구조에 대해 철저히 분석하고, 임플란트를 고정할 위치, 필요하다면 보철물의 유형도 미리 결정합니다. 이 과정에서 많은 이들이 느끼는 죄책감은 제가 처음 치과에 갔던 경험을 떠올리게 합니다. 그때의 느꼈던 두려움이 지금도 종종 기억나는군요.
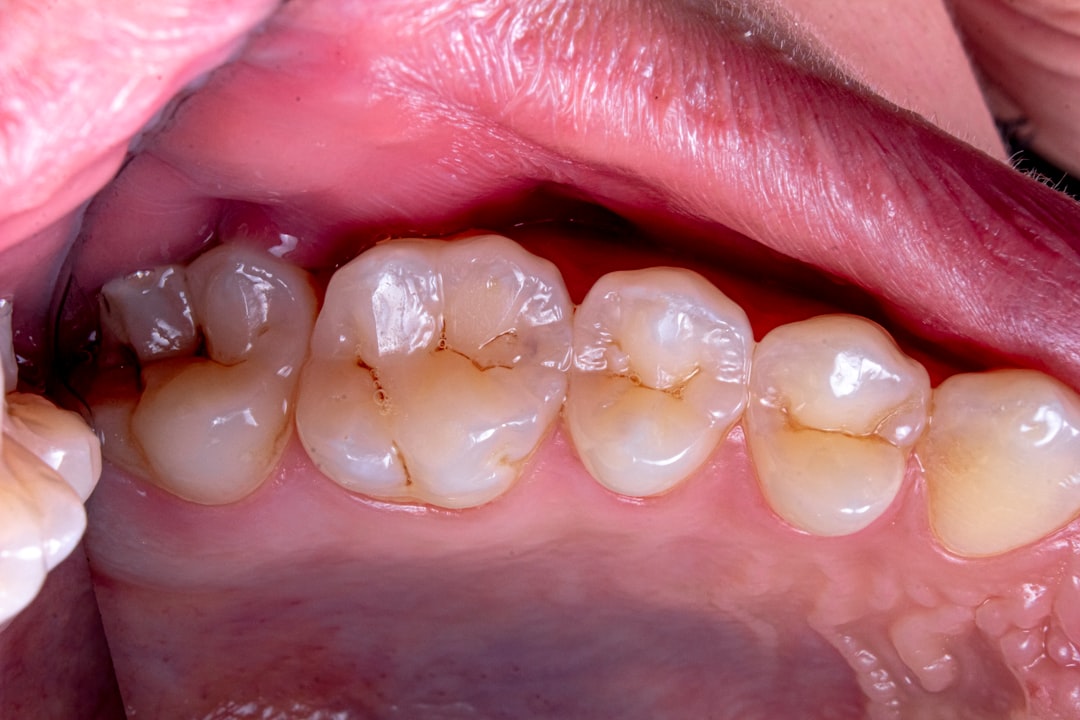
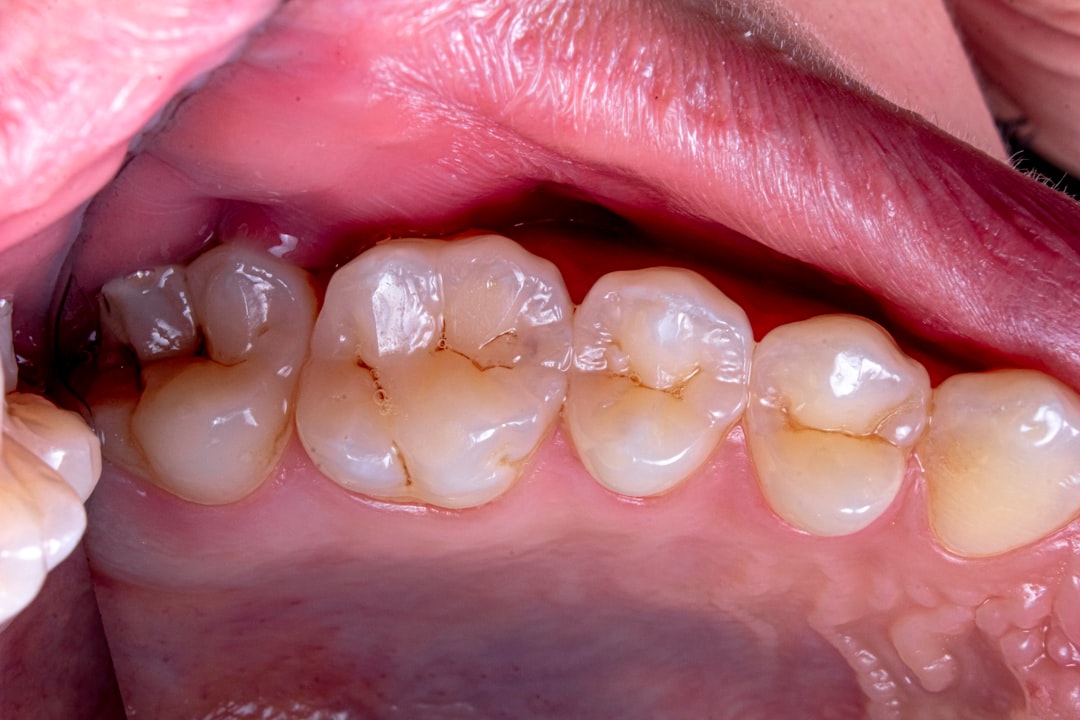
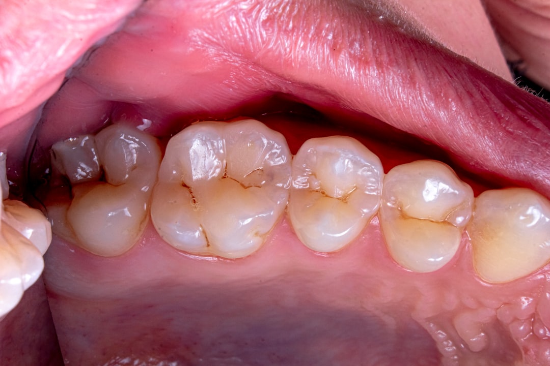
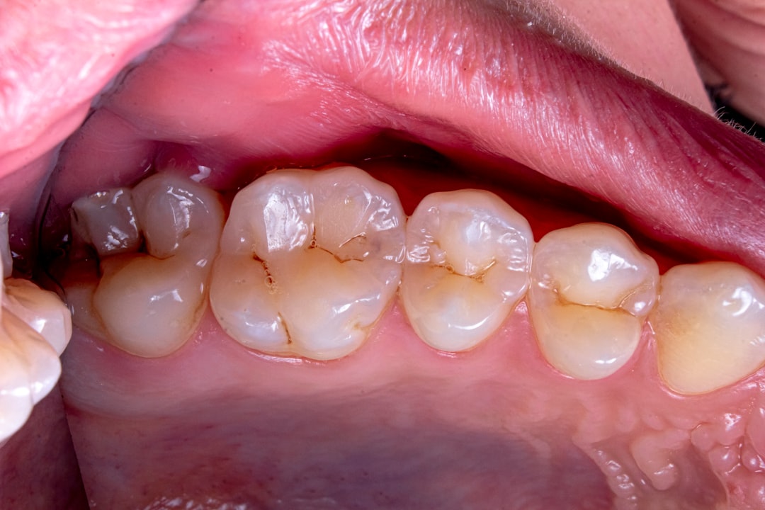
그 후 수술 단계로 넘어가게 됩니다. 실제로 치료를 진행하면서 환자가 느끼는 불편함을 최소화하기 위해 많은 치과가 최신 기술을 적용하고 있습니다. 하지만 수술 후 초기 회복 기간 동안에는 통증이 있을 수 있습니다. 초기 치유 기간은 보통 3-6개월 정도 소요되며, 이는 임플란트가 뼈에 잘 자리 잡을 수 있도록 하기 위함입니다.
임플란트가 안정적으로 자리 잡은 후, 다음 단계로 보철물을 올리는 과정입니다. 이 과정이 끝나면 정상적인 식사가 가능해지며, 치아의 기능을 되찾게 됩니다. 많은 분들이 이 때의 기쁨을 표현하기도 하는데, 그 짜릿함은 굳이 설명하지 않아도 모두 공감할 수 있을 것입니다. 그만큼 장기적인 비용이 드는 치료이지만, 결과에 따른 만족감은 가격을 넘는다고 할 수 있죠.
만성 통증의 해결
망설이고 있는 여러분께 전해 드리고 싶은 것은, 미리 겪어보았던 아픔을 잊지 말아야 한다는 것입니다. 만성 통증은 발생할 수 있는 여러 원인 중 하나이며, 이를 방치할 경우 상황이 더욱 악화될 수 있습니다. 특히 치통은 치료를 미루면 더 큰 고통으로 이어질 수 있기에, 조기 검진이 권장됩니다. 여기에 대한 통계도 여러 연구를 통해 어떤 관계가 있는지 알 수 있습니다.
임플란트 치과에서는 만성 통증의 문제를 해결하는 데 많은 노력을 기울이고 있습니다. 차별화된 진단 장비와 전문적인 기술력 덕분에 환자 한 분, 한 분에게 맞춘 치료 계획을 세울 수 있습니다. 또한 치과 의사와의 충분한 상담을 통해 여러분의 걱정 사항을 해결할 수 있는 방법을 찾을 수 있습니다. 개인적인 경험을 통해 보완적인 치료가 필요함을 깨달았던 저의 이야기가 도움이 되었으면 합니다.
치료 후에도 만성 통증이 남는 경우에는 재방문을 통해 추가적인 치료를 고려할 수 있으며, 이러한 과정이 원활하게 이루어지기 위해서는 반드시 정기적인 검진이 필요합니다. 더 지속적인 진료를 통해 여러분의 건강을 지키고, 아픔을 최소화할 수 있는 방법을 찾아가야겠죠.
치과 선택의 중요성
임플란트 치과를 선택함에 있어서 주의해야 할 것은 많습니다. 다양한 임플란트 치과가 존재하지만, 각 치과의 치료 방식, 장비, 의료진의 경험 등에 따라 결과는 크게 달라질 수 있습니다. 예를 들어 서울의 영등포 임플란트 치과, 인천 수면 임플란트 치과, 구미 임플란트 치과 등 지역별로 다르게 접근할 필요가 있습니다. 이런 병원들이 제공하는 서비스에 대해 미리 알아보면, 더욱 자신에게 맞는 치료를 받는 데 도움이 될 것입니다.
또한, 여러 후기를 통해 환자들이 남긴 경험담도 참고하시길 권합니다. 저는 만약 저와 비슷한 고민을 가진 분이라면 특정 치과를 찾는 과정이 얼마나 힘들고 지치게 할 수 있는지 잘 알고 있습니다. 잘 정리된 후기나 추천이 있다면 신뢰를 기반으로 결과를 예측할 수 있을테니까요. 이러한 경로를 통해 나만의 치과를 찾는 여정이 조금 더 수월해지기를 바랍니다.
마지막으로, 임플란트 치과를 선택하는 과정에서 불안함이 크다면 문을 두드리는 것이 많지 않다면, 의사와의 소통도 중요하다는 것을 잊지 마세요. 감정적인 부담을 덜기 위해 피어나는 친근한 대화는 많은 시간을 단축시켜 주기 때문입니다. 치과를 선택하는 결정적인 순간이 언제든지 여러분의 지혜를 필요로 한다는 것을 함께 기억하도록 합시다.



결론
임플란트 치과를 선택하는 데 있어 여러 요인들이 존재합니다. 각 치과의 전문성, 기술력, 진료 방식 등을 종합적으로 고려하여 신중한 결정을 내리는 것이 중요합니다. 여러 지역의 다양한 임플란트 치과를 고려한 정보들을 참고하여, 여러분의 선택이 최상의 결과로 이어지기를 바랍니다.
여기서는 만성 통증을 다루는 과정에서 임플란트 치과의 필요성을 다시금 느껴볼 수 있는 기회가 되었어요. 여러분도 그 아픔에서 벗어나 희망을 찾기를 바라며, 치유의 과정에서 안전하고 행복한 치과 경험이 되시길 응원합니다.
추천 글
개헌과 기후 변화 대응, 지구 온난화 막을 수 있을까?
개헌의 필요성과 기후 변화 대응최근들어 기후 변화가 인류와 자연에게 미치는 영향은 매우 심각한 문제로 대두되고 있습니다. 이에 따라, 개헌이 기후 변화 대응을 위한 법적 기초를 마련하는
geowin3000.jhcin.kr
민주당 비판, 정치적 책임 회피와 부패 논란
민주당 비판: 정치의 복잡한 맥락현재 한국 정치에서 민주당 비판은 매우 중대한 주제로 떠오르고 있습니다. 많은 사람들이 민주당의 정책과 행보에 대해 문제를 제기하고 있으며, 그 이유는 다
geowin3000.jhcin.kr
춘천 벚꽃축제 정보와 놀 거리, 먹거리 총정리
춘천 벚꽃축제 정보: 아름다움의 향연춘천 벚꽃축제 정보는 매년 봄, 특히 4월 초에 맞춰 열리는 축제로, 많은 이들의 기대를 한 몸에 받습니다. 강원도의 아름다운 자연 속에서 벚꽃이 만개하는
geowin3000.jhcin.kr
자주 묻는 질문(FAQ)
Q1: 임플란트 치료는 얼마나 오래 걸리나요?
A1: 대체로 3-6개월의 시간이 필요합니다. 초기 회복 후, 보철물 장착을 위해 추가적인 시간이 소요될 수 있습니다.
Q2: 임플란트 치료 후 통증은 언제 사라지나요?
A2: 개인차가 있지만, 보통 수술 후 며칠 내에 통증은 완화되며, 자연적인 치유 과정에 따라 차차 사라집니다.
Q3: 나에게 맞는 임플란트 치과는 어떻게 선택하나요?
A3: 인터넷 후기를 참고하면서, 직접 상담을 통해 의료진과의 소통을 통해 결정하는 것이 좋습니다.

