
풍치치료법을 통해 건강한 미소를 되찾는 방법에 대한 포괄적인 정보를 제공합니다. 효과적인 치료법과 예방 조치를 알아보며, 당신의 치아 건강을 지킬 수 있는 방법을 소개합니다.
풍치치료법의 중요성
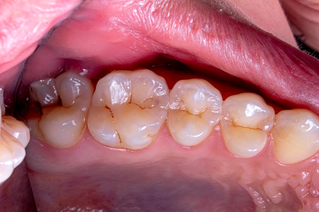
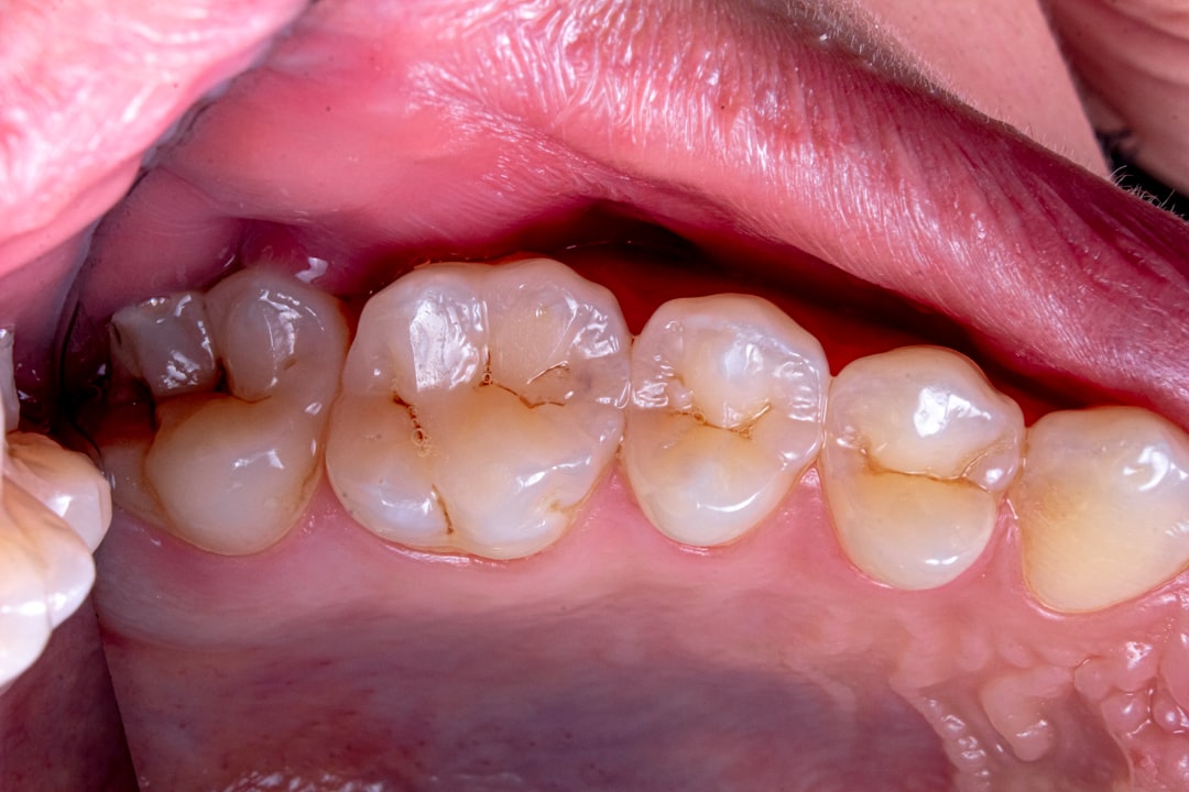
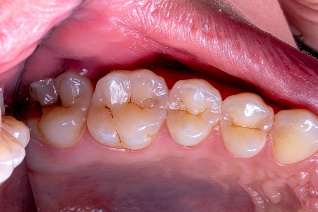
우리가 매일 사용하는 치아는 단순한 뼈조각이 아닙니다. 그것은 우리가 음식을 섭취하고, 말을 하고, 심지어 자신감을 표현하는 데 꼭 필요한 중요한 도구입니다. 따라서 풍치치료법에 대한 이해와 중요성은 날로 증가하고 있습니다. 풍치는 구강 건강을 위협하는 주요 원인으로, 조기에 발견하지 않으면 심각한 문제를 일으킬 수 있습니다. 치통, 잇몸 출혈, 그리고 심지어 치아 손실까지 이어질 수 있으니, 그 심각성을 간과할 수 없습니다. 이러한 이유로 각종 치료법과 예방 방법을 알고 준비하는 것이 무엇보다 중요합니다.

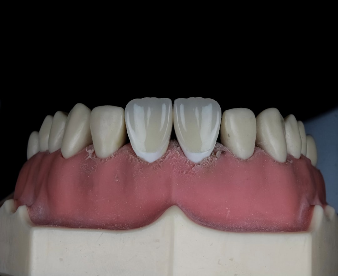
특히, 풍치가 만약 진행된다면, 이는 치아 미소에 직접적인 영향을 미치기 때문에 자신의 이미지를 부정적으로 변화시킬 수도 있습니다. 소중한 웃음을 잃게 되는 것은 정말 슬픈 일입니다. 그렇기 때문에 풍치치료법을 면밀히 이해하고, 적절한 치료를 통해 이를 방지해야 합니다. 이를 통해 건강한 미소를 되찾을 수 있습니다. 무엇보다 우리의 치료법은 질병의 예방과 관리에 초점을 맞추므로, 당신의 치아 건강을 지속적으로 유지하는 방법을 알려드립니다.
때문에 주기적인 검사뿐만 아니라, 직접적으로 잇몸과 치아를 관리하는 습관을 길러야 합니다. 의사의 조언을 따르는 것은 물론, 일상적인 구강 관리가 귀하의 건강에 큰 도움이 될 것입니다. 우리가 제공하는 풍치치료법의 목록을 참고하여 간단히 실천할 수 있는 방법들을 소개하도록 하겠습니다. 다음 섹션에서는 구체적인 치료 방법에 대해 알아보겠습니다.
풍치치료법의 종류
풍치를 치료하는 방법은 여러 가지가 있습니다. 첫 번째로, 전문적인 스케일링을 통한 치료가 있습니다. 이 과정은 전문의가 치아에 붙어 있는 플라그와 치석을 제거하여 잇몸의 건강을 증진시키는 데 도움을 줍니다. 스케일링은 기본적인 치료로, 개인의 건강 상태에 따라 잇몸염증이 심할 경우 자주 받아야 할 수도 있습니다. 이러한 방법은 치료의 첫 발걸음으로 매우 중요합니다.
두 번째는 항생제의 사용입니다. 의사가 필요하다고 판단할 경우, 항생제를 처방하여 염증을 줄이는 것이 효과적입니다. 이러한 약물은 풍치의 진행을 늦추고, 잇몸의 회복을 돕는 데 크게 기여합니다. 풍치치료법 중에서도 항생제 치료는 빠른 효과를 보일 수 있는 방법 중 하나입니다. 그러나 무단 사용은 절대 금물임을 기억해야 합니다.


세 번째로는 수술적인 방법도 고려해볼 수 있습니다. 잇몸이 심하게 손상된 경우, 부분 수술이나 잇몸 이식 수술을 통해 잇몸을 재건할 수 있습니다. 이러한 방법은 다소 복잡하고 회복 기간이 필요하지만, 결과적으로 건강한 미소를 되찾는 데 큰 도움이 됩니다. 여러 방법을 고려한 후, 전문의와 상담하여 최적의 방법을 선택하는 것이 중요합니다.
예방과 관리 방법
풍치치료법은 단순한 치료법에 그치지 않고 예방과 관리가 중요한 부분입니다. 잇몸 건강을 유지하기 위해서는 항상 고른 칫솔질이 필수적입니다. 매일 두 번 이상 구강 세정제를 사용해 입 안을 헹구는 것도 좋은 방법입니다. 뿐만 아니라, 정기적인 치과 검진을 통해 문제를 미리 발견하고 예방하는 자세가 필요합니다.






이런 글도 읽어보세요
두경부암 증상 알아야 할 5가지 사항
두경부암 증상은 다양한 형태로 나타날 수 있으며, 초기에 발견하고 치료하는 것이 생존율에 큰 영향을 미칩니다. 이 문자열을 통해 두경부암의 원인과 증상, 그리고 예방 방법에 대해 알아보세
geowin3000.jhcin.kr
팬티형생리대 착용 후기 및 추천 제품 비교
팬티형 생리대에 대한 착용 후기를 통해 추천 제품을 비교했습니다. 다양한 제품의 장단점을 살펴보며 어떤 제품이 나에게 맞는지 함께 알아보겠습니다.팬티형 생리대의 장점팬티형 생리대는
geowin3000.jhcin.kr
혈압약종류 알아보기 및 올바른 복용법
혈압 관리에 대한 이해는 건강한 삶을 위한 첫걸음입니다. 다양한 혈압약종류와 올바른 복용법을 알아보며 고혈압을 효과적으로 관리해봅시다.혈압약 종류 이해하기혈압을 조절하기 위해서는
geowin3000.jhcin.kr
풍치와 식습관의 관계
풍치의 발생은 단순히 구강 위생만으로 설명되지 않습니다. 풍치치료법을 이해하기 위해서는 식습관의 영향도 무시할 수 없습니다. 고당도 음식과 불균형한 식사는 잇몸에 악영향을 미치며, 풍치 발생의 주된 원인이 될 수 있습니다. 그러므로 식습관을 개선하여 건강한 잇몸을 유지하는 것이 중요합니다.
| 음식 종류 | 영향 |
|---|---|
| 고당도 스낵 | 치과우식증 유발 |
| 신선한 과일과 채소 | 치아 건강 유지 |
| 가공된 식품 | 염증 유발 |
식습관을 조정하여 올바른 영양소를 섭취하는 것이 치아와 잇몸의 건강을 지키는 데 중요합니다. 특히, 비타민 C가 풍부한 과일과 채소는 잇몸의 염증을 줄이는 데 큰 도움이 됩니다. 이런 작은 실천들이 쌓여 건강한 미소를 만들어낼 것입니다.
마무리하며
치아 건강을 지키기 위한 풍치치료법은 다양하지만, 무엇보다 주기적인 관리와 올바른 습관이 필요합니다. 이제는 여러분의 입속 변화가 곧 건강에 직결된다는 사실을 잊지 마세요. 건강한 미소는 삶의 질을 높여주는 중요한 자산이니까요. 이러한 방법들을 실천하는 것이 바로 여러분의 건강한 웃음을 되찾는 첫 걸음입니다. 그 첫 발걸음을 지금 내딛어 보세요!
자주 묻는 질문(FAQ)
Q1: 풍치를 예방하기 위해서는 어떤 관리가 필요할까요?
A1: 하루 두 번 칫솔질과 구강 세정제를 사용하는 것이 기본입니다. 정기적인 치과 검진도 필수입니다.
Q2: 풍치 치료 시 식습관은 어떻게 해야 할까요?
A2: 고당도 음식 섭취를 줄이고, 비타민 C가 풍부한 과일과 채소를 섭취하는 것이 좋습니다.
Q3: 풍치 치료 후 재발 방지를 위한 조치가 있을까요?
A3: 정기적인 치과 검진과 구강 위생 관리를 지속적으로 유지해 재발을 막을 수 있습니다.